Home » The Presence Of An Epiphyseal Line Indicates That… Growth Has Stopped

The Presence Of An Epiphyseal Line Indicates That… Growth Has Stopped

The Presence Of An Epiphyseal Line Indicates That… Growth Has Stopped

What do epiphyseal lines indicate?

The epiphyseal line is a remnant of the epiphyseal plate, a cartilaginous growth plate that helps bones grow longer during childhood and adolescence. Once a person reaches adulthood, the growth plates close and are replaced by bone, forming the epiphyseal line. While it doesn’t play an active role in bone function, the epiphyseal line marks the boundary between the epiphysis and diaphysis of a long bone.

Here’s a breakdown:

Epiphysis: The end of a long bone, like the ends of your femur (thigh bone) or humerus (upper arm bone).
Diaphysis: The main shaft of a long bone.
Epiphyseal plate: A cartilage plate that allows long bones to grow in length. It’s active during childhood and adolescence.
Epiphyseal line: The bony line that forms when the epiphyseal plate closes and stops growing. It indicates the boundary between the epiphysis and diaphysis.

Think of the epiphyseal line as a permanent mark that tells us the bone has finished growing. You can see this line on an X-ray, and it’s helpful for doctors to determine bone age, which is particularly important for evaluating growth and development in children and adolescents.

For example, if a doctor sees that a child’s epiphyseal lines are still open, it means that the child is still growing. Conversely, if the epiphyseal lines are closed, it means that the child has reached their full height. This is also useful for understanding the healing process after a bone fracture. The presence of an epiphyseal line can help determine the location of the fracture and the extent of bone growth that has occurred since the injury.

What does the presence of an epiphyseal plate indicate?

The presence of an epiphyseal plate means that a person is still growing.

Epiphyseal plates, also known as growth plates, are areas of cartilage found near the ends of long bones. These areas of cartilage allow the bone to lengthen, which is why they are called growth plates.

Think of it like this: Imagine a bone is like a piece of string. You can’t make the string longer by stretching it. To make the string longer, you have to add more string to it. Similarly, your body can’t just stretch your bones to make them longer. Instead, your body grows new cartilage in the growth plates, which eventually turns into bone.

As you grow older, your growth plates gradually close, and the cartilage is replaced by bone. This is a natural process that happens as you reach adulthood. When your growth plates close, your bones can no longer grow longer.

The epiphyseal plate plays a vital role in bone growth and development. It’s important to take care of your bones during this time, as injury to a growth plate can potentially affect future bone growth. This is why it’s essential for children and adolescents to engage in healthy activities that support bone growth, such as exercise and a balanced diet rich in calcium and vitamin D.

What does the presence of an epiphyseal disk indicate?

The presence of an epiphyseal disk indicates that a bone is still growing. This is because the epiphyseal disk, also known as the growth plate, is a layer of cartilage located at the ends of long bones. This cartilage is responsible for the lengthwise growth of bones. As a child grows, the epiphyseal disk gradually widens and lengthens, allowing the bone to grow.

The epiphyseal disk is crucial for bone growth because it contains specialized cells called chondrocytes. These cells divide and produce new cartilage, pushing the epiphysis (the end of the bone) away from the diaphysis (the shaft of the bone). This process, known as endochondral ossification, allows bones to grow longer.

The presence of an epiphyseal disk signifies a period of active bone growth. It’s a sign that the bone is still developing and capable of increasing in length. As we age, the epiphyseal disks gradually narrow and eventually disappear, indicating that the bone has reached its full growth potential.

It’s important to note that the presence of an epiphyseal disk doesn’t necessarily guarantee that the bone is healthy. Other factors, such as calcium and vitamin D intake, can also influence bone growth and development.

Let’s delve deeper into what an epiphyseal disk indicates and why it’s important:

Active Growth: The presence of an epiphyseal disk signifies that the bone is actively growing in length. This is because the disk contains chondrocytes, which produce new cartilage to extend the bone.
Age Assessment: The presence or absence of epiphyseal disks can be used to estimate a person’s age. For example, if a child’s epiphyseal disks are still open, it suggests they are still growing.
Bone Health Indicator: The presence of a healthy epiphyseal disk indicates that the bone is likely receiving adequate nutrition and is functioning correctly.
Injury Potential: Epiphyseal disks are relatively fragile and can be injured, especially during childhood and adolescence. Injuries to the epiphyseal disk can potentially interfere with bone growth and lead to complications.

In essence, the epiphyseal disk serves as a vital indicator of bone growth and development. Understanding its presence and function is crucial for ensuring healthy bone development and preventing potential growth-related complications.

What is the reason for the presence of epiphyseal plate?

The epiphyseal growth plate is the reason we grow taller. It’s the main site of longitudinal growth of the long bones. At this site, new cartilage is formed as cells multiply and grow larger. This new cartilage is then replaced by bone tissue, allowing the bone to lengthen.

Imagine the epiphyseal plate as a construction crew constantly building new layers of cartilage. These layers are then transformed into bone, pushing the ends of the bone further apart and making you taller. This process continues until you reach your full adult height.

The epiphyseal plate is a fascinating example of how our bodies grow and develop. It’s a testament to the amazing power of our cells to create and rebuild tissue, allowing us to grow from tiny babies to adults.

Here’s how the process works in more detail:

1. Chondrocytes (cartilage cells) in the epiphyseal plate divide and multiply.
2. These cells produce a matrix of collagen and other proteins, forming new cartilage.
3. As the cells grow larger, they push the older cartilage towards the bone shaft.
4. The older cartilage is then calcified (hardened) and replaced by bone tissue.
5. This process continues, resulting in the lengthening of the bone.

The epiphyseal plate remains active until adolescence when it closes. This closing of the growth plate marks the end of bone growth in length.

The presence of the epiphyseal plate is essential for our growth and development. It allows us to reach our full adult height and enables us to have strong and functional bones.

What is the presence of an epiphyseal line indicated?

The presence of an epiphyseal line on an x-ray indicates that the bone has finished growing in length.

Let’s break this down.

Epiphyseal plates are growth plates that are found at the ends of long bones. These plates are made of cartilage and allow bones to grow in length. As a person gets older, these plates start to ossify (turn into bone). This process is called epiphyseal closure.

When epiphyseal closure is complete, a line appears on the x-ray where the epiphyseal plate used to be. This line is called the epiphyseal line.

Epiphyseal lines are a good indicator that a person has reached their full height. They can also be useful for determining a person’s age, especially in children.

Here’s a more detailed explanation:

Bone growth in length happens at the epiphyseal plates. These plates are made of cartilage and are located at the ends of long bones.
* During childhood and adolescence, cartilage cells in the epiphyseal plates divide and create new bone tissue, allowing the bone to grow longer.
* Over time, the epiphyseal plates gradually narrow and eventually close completely, a process called epiphyseal closure.
* When the epiphyseal plates are closed, the epiphyseal line appears on an x-ray.

The epiphyseal line is a good indication that bone growth in length has stopped. Epiphyseal closure happens at different times for different bones and people. It’s usually complete by the end of puberty, around age 18 for females and 20 for males.

However, it’s important to remember that epiphyseal closure is affected by a number of factors, including genetics, nutrition, and hormones. Therefore, the age at which epiphyseal closure occurs can vary significantly from person to person.

If you have any concerns about your bone growth, you should talk to a doctor. They can help you determine if your epiphyseal plates are still open and if there are any other factors that could be affecting your bone growth.

What type of growth occurs at the epiphyseal line?

Long bones grow in length at the epiphyseal plate, also known as the growth plate, by adding bone tissue. This process is called appositional growth.

Let’s dive a little deeper into appositional growth and how it works. Imagine the epiphyseal plate as a construction zone where new bone cells are constantly being built. This plate is made of cartilage, a flexible tissue that acts as a scaffold for new bone formation.

Here’s how it works:

Chondrocytes, which are cartilage cells, divide and multiply within the epiphyseal plate.
* As these cells divide, they push the epiphyseal plate away from the diaphysis, the main shaft of the bone.
* Meanwhile, the diaphysis side of the epiphyseal plate is replaced by new bone tissue.
* This continuous process of cartilage formation and bone replacement results in the lengthening of the bone.

The epiphyseal plate remains active until puberty when hormones like estrogen and testosterone signal the closure of the growth plate. Once the growth plate closes, the bone can no longer grow in length. This process is essential for the development of strong and durable bones throughout our lifespan.

See more here: What Does The Presence Of An Epiphyseal Plate Indicate? | The Presence Of An Epiphyseal Line Indicates That

What are epiphyseal lines in a mature bone?

Let’s talk about epiphyseal lines in a mature bone. You might be wondering, “What exactly are these lines?” Well, they’re essentially the “leftovers” of epiphyseal plates, which are the areas where bone growth happens.

Think of it this way: during childhood and adolescence, your bones grow longer. This growth happens at the epiphyseal plates, which are located at the ends of long bones. As you get older, these epiphyseal plates eventually close, leaving behind epiphyseal lines.

Now, while your bones are getting longer, they’re also getting thicker. This thickening process is called appositional growth and it’s different from the longitudinal growth at the epiphyseal plates. Interestingly, appositional growth can continue even after your bones stop growing longer. This means your bones can still get thicker even after you reach your adult height.

So, epiphyseal lines are like little “scars” that mark where the epiphyseal plates used to be. They’re a sign that your bones have reached their full length.

Here’s a more detailed explanation about the role of epiphyseal plates in bone growth:

Epiphyseal plates are made of hyaline cartilage, a type of flexible connective tissue.
* This cartilage is constantly being replaced by bone, which allows for the lengthening of the bone.
* The epiphyseal plates have different zones, each with a specific function.
* One of these zones is the zone of proliferation, where new cartilage cells are produced.
* Another zone is the zone of hypertrophy, where the cartilage cells get bigger.
* Finally, in the zone of calcification, the cartilage cells die and are replaced by bone.
* As long as the epiphyseal plates are active, the bone continues to grow.
* Once the epiphyseal plates close, bone growth in length stops. This usually happens around the end of puberty.

Even though the epiphyseal plates are gone, your bones can still thicken through appositional growth. This process occurs along the outer surface of the bone, where new bone tissue is deposited by special cells called osteoblasts. Appositional growth is what helps your bones get stronger and thicker over time.

Which structure is indicated by the epiphyseal line?

The epiphyseal line indicates the location of the former epiphyseal plate.

The epiphyseal plate, also known as the growth plate, is a layer of hyaline cartilage found in children and adolescents at the ends of long bones. It’s located in the metaphysis, which is the region between the diaphysis (the shaft of the bone) and the epiphysis (the end of the bone).

Here’s a more detailed explanation of what the epiphyseal line represents:

– Growth and Development: The epiphyseal plate is responsible for the longitudinal growth of long bones. It’s a region of active cell division, where new cartilage cells are continuously produced. This process pushes the epiphysis away from the diaphysis, lengthening the bone.
– Closure: As we reach adulthood, the epiphyseal plate stops producing cartilage and eventually becomes ossified (turns into bone), forming the epiphyseal line. This signifies the end of bone growth.
– Structural Importance: The epiphyseal line serves as a landmark in the bone, indicating the former site of growth. It’s crucial for understanding bone development and any potential growth abnormalities.

In essence, the epiphyseal line is a permanent mark that shows where the epiphyseal plate used to be. It’s a clear indication that the bone has reached its full length and is no longer growing.

What is the function of the epiphyseal plate?

The epiphyseal plate is the growth plate in long bones. It’s responsible for the growth and development of long bones in children and adolescents. Once you’re an adult, the epiphyseal plate is replaced by solid bone, and growth of long bones stops.

The epiphyseal plate is made up of three zones:

resting zone: This is the outermost layer of the epiphyseal plate. It contains chondrocytes, which are cells that produce cartilage.
proliferative zone: This zone is where chondrocytes divide and multiply. This division of chondrocytes is what allows the bone to grow in length.
hypertrophic zone: This zone contains large, mature chondrocytes that are about to die. The death of these chondrocytes allows for the formation of new bone.

These three zones work together to ensure the growth and development of long bones.

The resting zone anchors the epiphyseal plate to the bone. It acts as a buffer, protecting the epiphyseal plate from damage.

The proliferative zone is responsible for the growth of the bone. It’s where new chondrocytes are produced, and they are constantly dividing and multiplying to create more cartilage. This cartilage is then replaced by bone, which is how the bone grows in length.

The hypertrophic zone is where chondrocytes mature and die. This process allows for the formation of new bone.

When a person reaches adulthood, the epiphyseal plate closes and is replaced by solid bone. This means that the bone can no longer grow in length. This process usually happens between the ages of 16 and 18 for most people, but it can vary depending on a number of factors, including genetics, nutrition, and overall health.

The epiphyseal plate is a fascinating and important part of the human body. It plays a vital role in the growth and development of long bones, and it is essential for maintaining proper bone health throughout life.

Are epiphyseal plates visible in a growing bone?

Yes, epiphyseal plates are visible in a growing bone. These plates are made of cartilage and are located at the ends of long bones. They are responsible for the lengthwise growth of bones. As a bone grows, the cartilage in the epiphyseal plate is replaced by bone tissue. Once a bone has reached its full length, the epiphyseal plates close and are replaced by epiphyseal lines.

Epiphyseal lines are the remnants of the epiphyseal plates. They are visible in a mature bone and indicate that the bone has stopped growing in length. However, bones can continue to grow in diameter even after they have stopped growing in length. This is called appositional growth and is responsible for the thickening of bones.

Let’s take a closer look at why epiphyseal plates are so important.

Imagine a bone as a long, hollow tube. The epiphyseal plates are like the caps at each end of this tube. These caps are made of a special type of cartilage that allows the bone to grow longer. The cartilage cells in the epiphyseal plate divide and multiply, pushing the bone ends further apart. This process is called endochondral ossification and is responsible for the growth of long bones.

Think of it like this: Imagine you have a stack of building blocks. The epiphyseal plate is like a new building block that gets added to the top of the stack. As new blocks are added, the stack gets taller. In the same way, as new cartilage is added to the epiphyseal plate, the bone gets longer.

Eventually, though, the epiphyseal plate stops making new cartilage. This usually happens in late adolescence or early adulthood. When this occurs, the plate closes and is replaced by bone tissue. This means that the bone has reached its full length and can no longer grow longer.

The closure of the epiphyseal plates is a normal part of growth and development. It marks the end of the bone’s growth in length. However, bones can continue to grow in diameter throughout life. This is due to appositional growth, which involves the addition of new bone tissue to the outer surface of the bone.

So, if you’re looking at a bone and you see an epiphyseal plate, that means the bone is still growing in length. If you see an epiphyseal line, that means the bone has stopped growing in length.

See more new information: linksofstrathaven.com

The Presence Of An Epiphyseal Line Indicates That… Growth Has Stopped

So, you’re wondering what the presence of an epiphyseal line tells us about a bone, right? It’s a pretty interesting thing to think about, actually. Let’s break it down.

The Epiphyseal Line: A Sign of Growth Plate Closure

The epiphyseal line is like a little scar on a bone, and it’s a super important marker. It means the growth plate, also called the epiphyseal plate, has closed. Basically, the growth plate is the area where bones grow in length. It’s made of cartilage, and it’s responsible for that amazing growth spurt you went through during puberty.

Think about it like this: Imagine a bone is like a tree trunk. The epiphyseal plate is like the growing tip of the tree. It keeps adding new wood and makes the tree taller. But, eventually, the growth tip stops growing, and the tree trunk gets a ring where the tip used to be. The epiphyseal line is that ring on the bone, the scar that tells us growth is done.

What Happens When Growth Plates Close?

Once the growth plates close, the bone can’t grow any longer. It’s like flipping the “off” switch on bone growth. This happens at different ages for different parts of the body. Your long bones, like your arms and legs, are the last to close. And this closure usually happens sometime during your late teens or early twenties.

How Can We Tell If the Growth Plates Are Closed?

Here’s the thing: we can’t actually see the growth plates directly. They’re inside the bone. But, we can use X-rays to see the epiphyseal line, which is like a ghost of the growth plate once it’s closed.

The epiphyseal line will show up as a thin, dense line on the X-ray. It’s not super obvious, but an experienced doctor or radiologist can spot it.

The Epiphyseal Line and Your Health

So, why is the epiphyseal line important? It’s a big deal because it tells us a lot about bone growth and health. Here are a few things it helps us understand:

Growth and Development: The presence of the epiphyseal line means bone growth is finished. It’s a helpful way to track a child’s development and make sure everything is on track.
Injury and Repair: Sometimes, injuries can affect the growth plates. For example, a fracture that crosses a growth plate could cause growth problems. The epiphyseal line helps doctors understand if the injury is affecting growth.
Medical Conditions: Certain medical conditions can cause premature closure of the growth plates. This can lead to stunted growth. The epiphyseal line is helpful for identifying these conditions.

The Epiphyseal Line: A Marker of Maturity

The epiphyseal line isn’t just important for medical professionals. It can even play a role in sports! You see, in certain sports, athletes who are still growing might be at a higher risk for injuries. If a player’s epiphyseal plates are still open, they might be more susceptible to certain injuries. Knowing this can help coaches and trainers make sure their athletes are safe and healthy.

FAQs about the Epiphyseal Line

Here are some common questions about the epiphyseal line:

Q: What does it mean if I still have epiphyseal plates?

A: If your epiphyseal plates are still open, that means your bones are still growing. This is completely normal for children and teenagers.

Q: Can I still grow taller if I have a closed epiphyseal line?

A: Sadly, no. Once the epiphyseal line is there, your bones can’t grow any longer.

Q: What if the epiphyseal line is not visible on an X-ray?

A: If the epiphyseal line is not visible on an X-ray, it might mean that the growth plate is still open. However, it could also mean that the X-ray wasn’t taken correctly, or the person is still very young. It’s important to discuss this with a doctor or radiologist.

Q: What if I have a fracture near an epiphyseal line?

A: This is a serious injury that needs to be checked out by a doctor. A fracture near the epiphyseal line could damage the growth plate and affect bone growth.

Q: Are there things I can do to help my bones grow?

A: While there’s not much you can do to control the closure of your epiphyseal plates, getting enough calcium and vitamin D is important for healthy bones.

Q: Can anything cause the epiphyseal line to close early?

A: Yes. Certain medical conditions, like achondroplasia, can cause premature closure of the epiphyseal plates. Other things, like smoking and excessive alcohol use, have been linked to early closure.

That’s the epiphyseal line in a nutshell! It’s a fascinating little marker that tells us a lot about bone growth, health, and even athletic performance. I hope this explanation cleared things up for you!

a&P chapter 6 Flashcards | Quizlet

The presence of an epiphyseal line indicates A) epiphyseal growth has ended. B) epiphyseal growth is just beginning. C) growth in bone diameter is just beginning. D) the bone is fractured at that location. E) The presence of an epiphyseal line does not Quizlet

SKELETAL SYSTEM Flashcards | Quizlet

The presence of an epiphyseal line indicates. epiphyseal growth has ended. During the process of ________, an existing tissue is replaced with bone. ossification. The quizlet.com

Ch. 6- skeletal Flashcards | Quizlet

The presence of an epiphyseal plate indicates that: A. Bone length is no longer increasing B. Bone Diameter is increasing C. Bone diameter is decreasing D. bone is dead E. Bone Quizlet

6.4 Bone Formation and Development – Anatomy

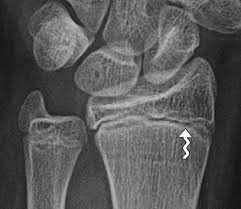
Figure 6.4.4 – Progression from Epiphyseal Plate to Epiphyseal Line: As a bone matures, the epiphyseal plate progresses to an epiphyseal line. (a) Epiphyseal plates are visible in a growing bone. Open Educational Resources

38.8: Bone – Growth of Bone – Biology LibreTexts

The longitudinal growth of long bones continues until early adulthood at which time the chondrocytes in the epiphyseal plate stop proliferating and the Biology LibreTexts

Epiphyseal plate – Wikipedia

The epiphyseal plate, epiphysial plate, physis, or growth plate is a hyaline cartilage plate in the metaphysis at each end of a long bone. It is the part of a long bone where new bone Wikipedia

Epiphyseal Line – AnatomyZone

The structure indicated is the epiphyseal line. The epiphyseal plate is a plate of hyaline cartilage found in children and adolescents, located in the metaphysis at the ends of each long bone. AnatomyZone

Epiphyseal line – e-Anatomy – IMAIOS

Definition. The epiphyseal plate (or epiphysial plate, physis, or growth plate) is a hyaline cartilage plate in the metaphysis at each end of a long bone. The plate is found in IMAIOS

13.12: Growth and Development of Bones – Biology

Long bones ossify and get longer as they grow and develop. These bones grow from their ends, known as the epiphysis, and the presence of a growth plate, or epiphyseal line, signifies that the bone is still growing. In the Biology LibreTexts

Bone Elongation – Processes At The Epiphyseal Plate

Physis, Epiphysis, Metaphysis And Diaphysis 🦴 | In 3 Minutes!

Hsci 4590 Histology–Epiphyseal Growth Plate

Growth Plates Physis Epiphysis \U0026 Apophysis – Everything You Need To Know – Dr. Nabil Ebraheim

Bone Growth And Remodeling: Appositional And Interstitial Growth

Chapter 6 – The Epiphyseal Plate

Chapter 7 Bone Elongation

Link to this article: the presence of an epiphyseal line indicates that.

Solved The Presence Of An Epiphyseal Line Indicates That A. | Chegg.Com
Solved The Presence Of An Epiphyseal Line Indicates That A. | Chegg.Com
Solved D Question 10 1 Pts The Presence Of An Epiphyseal | Chegg.Com
Solved D Question 10 1 Pts The Presence Of An Epiphyseal | Chegg.Com
Solved The Presence Of An Epiphyseal Line Indicates: O | Chegg.Com
Solved The Presence Of An Epiphyseal Line Indicates: O | Chegg.Com
Solved 8. A Canal Leading Through The Substance Of A Bone Is | Chegg.Com
Solved 8. A Canal Leading Through The Substance Of A Bone Is | Chegg.Com
The Presence Of An Epiphyseal Line Indicates That (A) Epiphyseal Growth Has  Ended. (B) Epiphyseal Growth Is Just Beginning. (C) Growth In Bone Diameter  Is Just Beginning. (D) The Bone Is Fractured
The Presence Of An Epiphyseal Line Indicates That (A) Epiphyseal Growth Has Ended. (B) Epiphyseal Growth Is Just Beginning. (C) Growth In Bone Diameter Is Just Beginning. (D) The Bone Is Fractured
Solved The Presence Of An Epiphyseal Line Indicates 22 Bone | Chegg.Com
Solved The Presence Of An Epiphyseal Line Indicates 22 Bone | Chegg.Com
Anatomy Semester Exam Created By Educational Technology Network Ppt Download
Anatomy Semester Exam Created By Educational Technology Network Ppt Download
Solved The Presence Of An Epiphyseal Plate Indicates | Chegg.Com
Solved The Presence Of An Epiphyseal Plate Indicates | Chegg.Com
The Presence Of An Epiphyseal Line Indicates That (A) Epiphyseal Growth Has  Ended. (B) Epiphyseal Growth Is Just Beginning. (C) Growth In Bone Diameter  Is Just Beginning. (D) The Bone Is Fractured
The Presence Of An Epiphyseal Line Indicates That (A) Epiphyseal Growth Has Ended. (B) Epiphyseal Growth Is Just Beginning. (C) Growth In Bone Diameter Is Just Beginning. (D) The Bone Is Fractured
Solved: The Presence Of An Epiphyseal Line Indicates: Longitudinal Growth  Is Beginning Appositiona [Biology]
Solved: The Presence Of An Epiphyseal Line Indicates: Longitudinal Growth Is Beginning Appositiona [Biology]
Solved: The Presence Of An Epiphyseal Plate Indicates That The Bone Is  Lengthening. The Bone Is De [Biology]
Solved: The Presence Of An Epiphyseal Plate Indicates That The Bone Is Lengthening. The Bone Is De [Biology]
Solved The Presence Of An Epiphyseal Line Indicates A) | Chegg.Com
Solved The Presence Of An Epiphyseal Line Indicates A) | Chegg.Com
Solved The Presence Of An Epiphyseal Line Indicatesa) | Chegg.Com
Solved The Presence Of An Epiphyseal Line Indicatesa) | Chegg.Com
Epiphysis - An Overview | Sciencedirect Topics
Epiphysis – An Overview | Sciencedirect Topics
The Presence Of An Epiphyseal Line On An X-Ray Indicates That The Bone Has  Stopped Growing In Length. True False | Homework.Study.Com
The Presence Of An Epiphyseal Line On An X-Ray Indicates That The Bone Has Stopped Growing In Length. True False | Homework.Study.Com
The Presence Of A Cartilaginous Epiphyseal Disk Indicates That: A) The Bone  Length Is Increasing. B) The Bone Length Is No Longer Increasing. C) The  Bone Diameter Is Increasing. D) The Bone
The Presence Of A Cartilaginous Epiphyseal Disk Indicates That: A) The Bone Length Is Increasing. B) The Bone Length Is No Longer Increasing. C) The Bone Diameter Is Increasing. D) The Bone
Chapter # - Chapter Title - Ppt Video Online Download
Chapter # – Chapter Title – Ppt Video Online Download
Solved: 10. The Presence Of An Epiphyseal Line Indicates A. Epiphyseal  Growth Has Ended B. Epiphyseal Growth Is Just Beginning C. Growth Of Bone  In Diameter Is Just Beginning D. The Bone
Solved: 10. The Presence Of An Epiphyseal Line Indicates A. Epiphyseal Growth Has Ended B. Epiphyseal Growth Is Just Beginning C. Growth Of Bone In Diameter Is Just Beginning D. The Bone
Solved What Does The Presence Of An Epiphyseal Plate In A | Chegg.Com
Solved What Does The Presence Of An Epiphyseal Plate In A | Chegg.Com
Representative Images Of Each Ossification Grade. White Arrows Indicate...  | Download Scientific Diagram
Representative Images Of Each Ossification Grade. White Arrows Indicate… | Download Scientific Diagram
Diagrammatic Representation Of The Epiphyseal Growth Plate Showing... |  Download Scientific Diagram
Diagrammatic Representation Of The Epiphyseal Growth Plate Showing… | Download Scientific Diagram
A Radical Switch In Clonality Reveals A Stem Cell Niche In The Epiphyseal  Growth Plate | Nature
A Radical Switch In Clonality Reveals A Stem Cell Niche In The Epiphyseal Growth Plate | Nature
Ch 5 Skeletal System Flashcards | Quizlet
Ch 5 Skeletal System Flashcards | Quizlet
Postnatal Skeletal Growth Is Driven By The Epiphyseal Stem Cell Niche:  Potential Implications To Pediatrics | Pediatric Research
Postnatal Skeletal Growth Is Driven By The Epiphyseal Stem Cell Niche: Potential Implications To Pediatrics | Pediatric Research
Determination Of Epiphyseal Union Age In The Knee And Hand Joints Bones  Among The Saudi Population In Taif City - Aljuaid - 2018 - Radiology  Research And Practice - Wiley Online Library
Determination Of Epiphyseal Union Age In The Knee And Hand Joints Bones Among The Saudi Population In Taif City – Aljuaid – 2018 – Radiology Research And Practice – Wiley Online Library
Histological Aspect Of The Epiphyses. (A) General View Of The Epiphysis...  | Download Scientific Diagram
Histological Aspect Of The Epiphyses. (A) General View Of The Epiphysis… | Download Scientific Diagram
Growth Plate - An Overview | Sciencedirect Topics
Growth Plate – An Overview | Sciencedirect Topics
Jdb | Free Full-Text | Regeneration Of The Epiphysis Including The  Articular Cartilage In The Injured Knees Of The Lizard Podarcis Muralis
Jdb | Free Full-Text | Regeneration Of The Epiphysis Including The Articular Cartilage In The Injured Knees Of The Lizard Podarcis Muralis
A&P Chapter 5 Hw Flashcards | Quizlet
A&P Chapter 5 Hw Flashcards | Quizlet
Musculoskeletal System | Radiology Key
Musculoskeletal System | Radiology Key
Lecture Exam 2 Prep Flashcards | Quizlet
Lecture Exam 2 Prep Flashcards | Quizlet
Frontiers | Enlightenment Of Growth Plate Regeneration Based On Cartilage  Repair Theory: A Review
Frontiers | Enlightenment Of Growth Plate Regeneration Based On Cartilage Repair Theory: A Review
Ijms | Free Full-Text | The Formation Of The Epiphyseal Bone Plate Occurs  Via Combined Endochondral And Intramembranous-Like Ossification
Ijms | Free Full-Text | The Formation Of The Epiphyseal Bone Plate Occurs Via Combined Endochondral And Intramembranous-Like Ossification
Solved: The Presence Of An Epiphyseal Plate Indicates That Bone Diameter Is  Widening. Bone Length [Biology]
Solved: The Presence Of An Epiphyseal Plate Indicates That Bone Diameter Is Widening. Bone Length [Biology]
Growth Arrest Lines And Intra-Epiphyseal Silhouettes: A Case Series | Bmc  Research Notes | Full Text
Growth Arrest Lines And Intra-Epiphyseal Silhouettes: A Case Series | Bmc Research Notes | Full Text
Long Bone By Thirumurugan M Professor Msc | Pdf
Long Bone By Thirumurugan M Professor Msc | Pdf
Rat Epiphyseal Growth Plate. (A-C) Zn Histochemistry, #2 Edta Sulfide... |  Download Scientific Diagram
Rat Epiphyseal Growth Plate. (A-C) Zn Histochemistry, #2 Edta Sulfide… | Download Scientific Diagram
A Radical Switch In Clonality Reveals A Stem Cell Niche In The Epiphyseal  Growth Plate | Nature
A Radical Switch In Clonality Reveals A Stem Cell Niche In The Epiphyseal Growth Plate | Nature
Frontiers | Value Of Growth Arrest Lines For Predicting Treatment Effect On  Children With Distal Tibial Epiphysis Fractures
Frontiers | Value Of Growth Arrest Lines For Predicting Treatment Effect On Children With Distal Tibial Epiphysis Fractures
Epiphyseal Plate Growth. Five Zones Of Epiphyseal Growth Plate... |  Download Scientific Diagram
Epiphyseal Plate Growth. Five Zones Of Epiphyseal Growth Plate… | Download Scientific Diagram
Magnetic Resonance Imaging At 7.0 T For Evaluation Of Early Lesions Of Epiphyseal  Plate And Epiphyseal End In A Rat Model Of Kashin-Beck Disease | Bmc  Musculoskeletal Disorders | Full Text
Magnetic Resonance Imaging At 7.0 T For Evaluation Of Early Lesions Of Epiphyseal Plate And Epiphyseal End In A Rat Model Of Kashin-Beck Disease | Bmc Musculoskeletal Disorders | Full Text
19.2 Bone – Concepts Of Biology – 1St Canadian Edition
19.2 Bone – Concepts Of Biology – 1St Canadian Edition
Applied Sciences | Free Full-Text | Classification Of Distal Growth Plate  Ossification States Of The Radius Bone Using A Dedicated Ultrasound Device  And Machine Learning Techniques For Bone Age Assessments
Applied Sciences | Free Full-Text | Classification Of Distal Growth Plate Ossification States Of The Radius Bone Using A Dedicated Ultrasound Device And Machine Learning Techniques For Bone Age Assessments
Imaging Of Pediatric Growth Plate Disturbances | Radiographics
Imaging Of Pediatric Growth Plate Disturbances | Radiographics
A&P Chapter 6 (Belmont, Mcgrew) Flashcards | Quizlet
A&P Chapter 6 (Belmont, Mcgrew) Flashcards | Quizlet
Drawing Of The Paediatric Growth Plate. Labelled Is The Transphyseal... |  Download Scientific Diagram
Drawing Of The Paediatric Growth Plate. Labelled Is The Transphyseal… | Download Scientific Diagram
The Presence Of An Epiphyseal Line Indicates (A) Epiphyseal Growth Has  Ended, (B) Epiphyseal Growth Is Just Beginning, (C) Growth Of Bone Diameter  Is Just Beginning, (D) The Bone Is Fractured At
The Presence Of An Epiphyseal Line Indicates (A) Epiphyseal Growth Has Ended, (B) Epiphyseal Growth Is Just Beginning, (C) Growth Of Bone Diameter Is Just Beginning, (D) The Bone Is Fractured At
Epiphyseal Line Hi-Res Stock Photography And Images - Alamy
Epiphyseal Line Hi-Res Stock Photography And Images – Alamy
Epiphysis Injury - An Overview | Sciencedirect Topics
Epiphysis Injury – An Overview | Sciencedirect Topics
Ijms | Free Full-Text | The Formation Of The Epiphyseal Bone Plate Occurs  Via Combined Endochondral And Intramembranous-Like Ossification
Ijms | Free Full-Text | The Formation Of The Epiphyseal Bone Plate Occurs Via Combined Endochondral And Intramembranous-Like Ossification
The Presence Of An Epiphyseal Line Indicates: Longitudinal Growth Is  Beginning, Appositional Growth Is Beginning, Longitudinal Growth Has Ended,  Appositional Growth Has Ended, Both Longitudinal And Appositional Growth Is  Beginning.
The Presence Of An Epiphyseal Line Indicates: Longitudinal Growth Is Beginning, Appositional Growth Is Beginning, Longitudinal Growth Has Ended, Appositional Growth Has Ended, Both Longitudinal And Appositional Growth Is Beginning.
A) Age-Related Changes In Average Epiphyseal Cupping. Dashed Lines... |  Download Scientific Diagram
A) Age-Related Changes In Average Epiphyseal Cupping. Dashed Lines… | Download Scientific Diagram
Frontiers | Epiphyseal Cartilage Formation Involves Differential Dynamics  Of Various Cellular Populations During Embryogenesis
Frontiers | Epiphyseal Cartilage Formation Involves Differential Dynamics Of Various Cellular Populations During Embryogenesis
Musculoskeletal System | Springerlink
Musculoskeletal System | Springerlink
Long Bone By Thirumurugan M Professor Msc | Pdf
Long Bone By Thirumurugan M Professor Msc | Pdf
Ijms | Free Full-Text | Growth Plate Chondrocytes: Skeletal Development,  Growth And Beyond
Ijms | Free Full-Text | Growth Plate Chondrocytes: Skeletal Development, Growth And Beyond
A Radical Switch In Clonality Reveals A Stem Cell Niche In The Epiphyseal  Growth Plate | Nature
A Radical Switch In Clonality Reveals A Stem Cell Niche In The Epiphyseal Growth Plate | Nature
Human Anatomy Flashcards | Quizlet
Human Anatomy Flashcards | Quizlet
Bone - Structure, Function, Types | Britannica
Bone – Structure, Function, Types | Britannica

See more articles in the same category here: https://linksofstrathaven.com/how